Do you dream of confidence, comfort, and a natural look for your restored teeth? Dental implants are a modern, safe, and durable method of smile restoration that is gaining increasing popularity among patients. At Z Wieży Clinic, we offer implantology treatments of the highest standard – today, we’d like to give you a closer look at this topic.
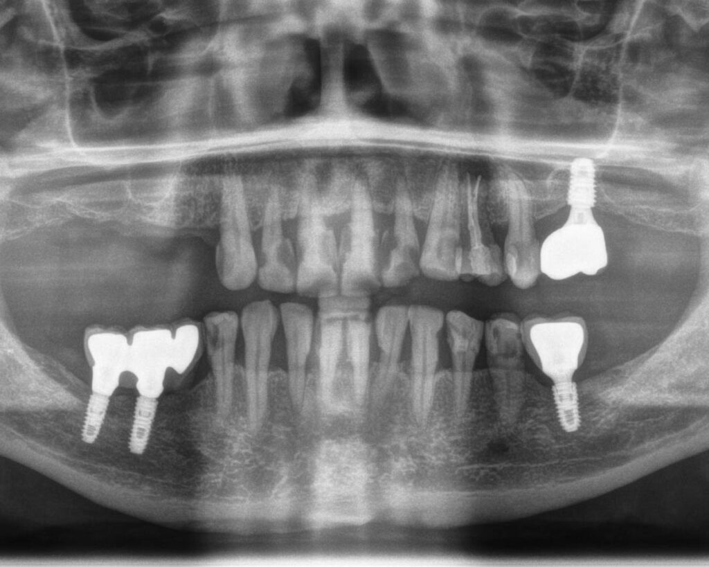
An implant is an artificial tooth root that replaces a lost tooth. It is made of titanium—a material well tolerated by the body—which fuses with the bone. This creates a strong foundation for the crown, the visible part of the tooth that looks and functions like a natural tooth.
Dental implants offer many benefits:

Dental implants are the solution that fulfills the dream of having “third teeth” — permanent, functional, and aesthetic restorations that restore your confidence.
Implants are perfect for replacing single missing teeth, and for larger gaps, several implants can support a fixed restoration for an entire jaw or lower jaw. Many patients worry about pain, but it’s important to remember that implant placement is done under anesthesia, and post-procedure discomfort is comparable to that after a regular tooth extraction.
Thanks to titanium, implants are biocompatible, meaning they integrate perfectly with the patient’s bone and even promote bone regeneration. High-quality implants, such as those from Osstem, often come with a lifetime warranty (of course, excluding the bone!), which confirms their reliability.

At Klinika z Wieży, we prioritize patient comfort at every stage of treatment. Here’s what you can expect:
Important!
Waiting too long to replace a missing tooth can complicate or even prevent implant placement. This is because neighboring teeth may shift, and bone and gum tissue can gradually recede.

1. Are implants safe?
Yes, dental implants are considered one of the safest methods for restoring your smile. They are made from biocompatible titanium, which integrates perfectly with the bone, ensuring durability and stability.
2. Is the implant placement procedure painful?
The procedure is performed under anesthesia, so the patient does not feel pain during the surgery. Postoperative pain is usually comparable to that experienced after a traditional tooth extraction and is effectively managed with medication.
3. How long does the implant healing process take?
The integration of the implant with the bone (osseointegration) usually takes several months. The exact healing time depends on the patient’s individual conditions and the implant’s location.
4. Do implants require special care?
Dental implants require daily, standard oral hygiene — brushing, flossing, and regular check-ups with the dentist. Proper care is essential to maintain long-lasting treatment results.
5. Can I expect the “just like a natural tooth” effect?
Absolutely! Implants not only look like natural teeth but also function identically, transferring forces of chewing, speaking, laughing, and singing in a natural, physiological way.
If you dream of a beautiful, confident smile and want to learn more about the possibilities dental implants offer — don’t wait! At Z Wieży Dentysta Clinic, passion meets cutting-edge technology, and experienced specialists take care of your comfort and safety.
Contact us today and schedule a consultation with our implantology expert!


