SZANOWNI PACJENCI, dnia 03.08.2024 r. nasza klinika będzie nieczynna.

Prosthetics

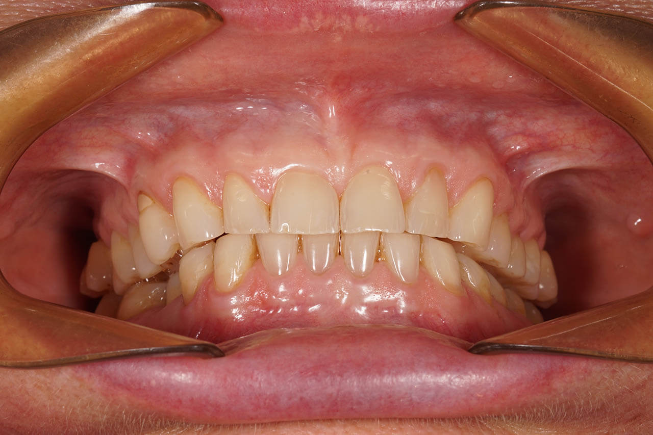
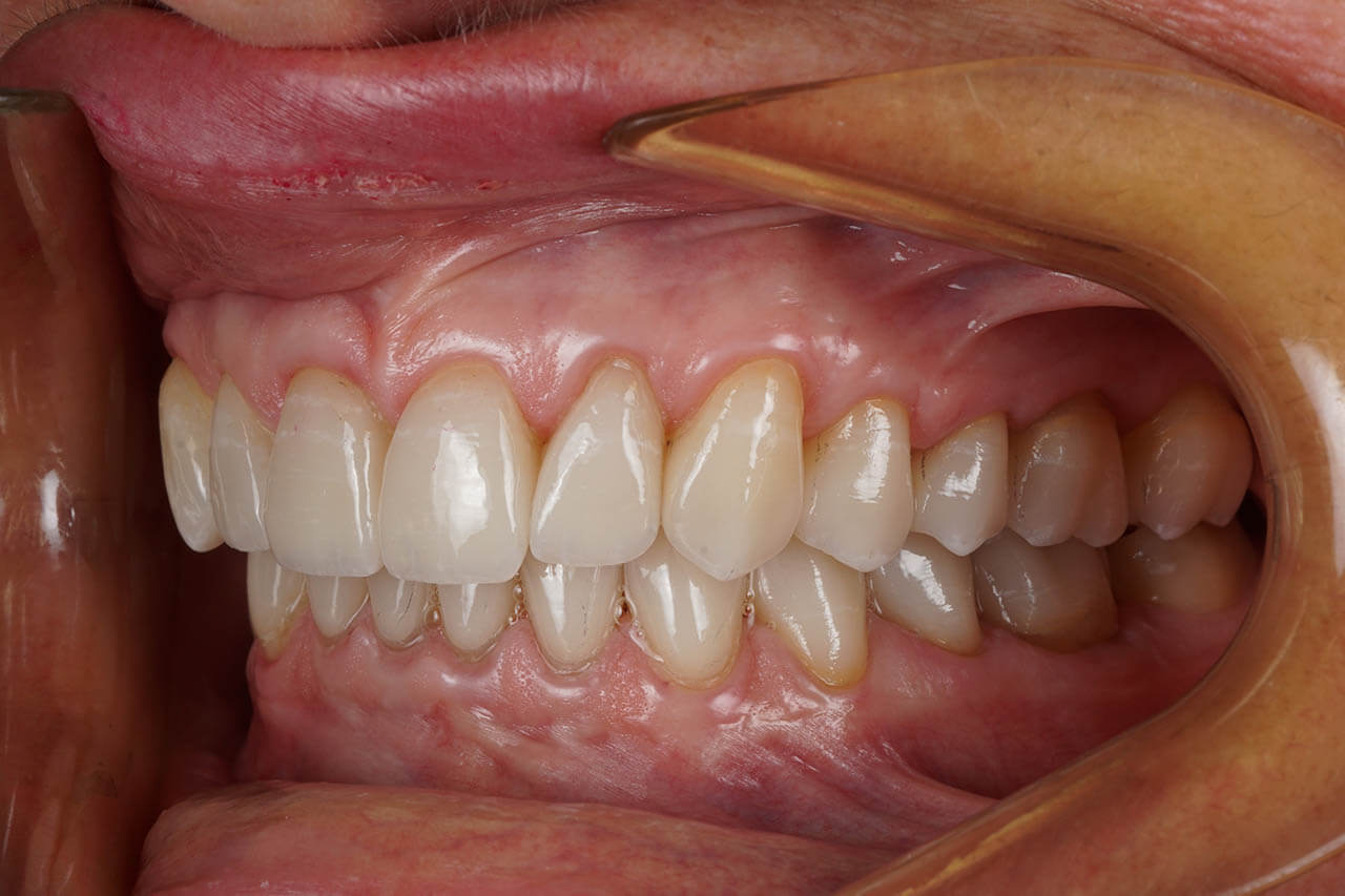
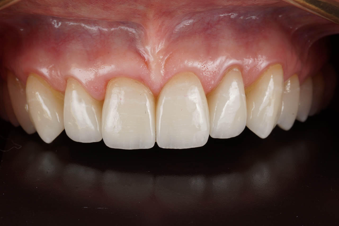
Dental prosthetics deals with filling gaps in the dentition and reconstructing damaged teeth. It is a good choice for anyone who in the past did not properly care for their teeth and as a result could not maintain their natural dentition or lost teeth due to illness or an unfortunate event. A properly chosen partial or full denture allows for the recovery of an aesthetic smile, good well-being, and self-confidence. Prosthetics at the Z Wieży clinic in Władysławowo offers you a wide range of modern prosthetic solutions, from which everyone can choose something tailored to their needs and expectations regarding the final result. Our experienced, highly qualified doctors are ready to provide assistance and good advice. To ensure the highest quality and aesthetics of restorations, we have for years cooperated with a renowned prosthetic laboratory.

Types of prosthetic restorations used at the Z Wieży clinic:

  • Porcelain and all-ceramic prosthetic crowns;
  • Acrylic and zirconia crowns;
  • Dental bridges and dentures.

Nasze prace protetyczne:

Our prosthetic work

WHAT CAN WE DO FOR YOU?

Check our services

ORTHODONTICS

A beautiful smile makes others see us as neat, well-groomed, and trustworthy.

IMPLANTOLOGY

Prevention is the most effective way to avoid tooth loss — unfortunately, sometimes it’s already too late for that.

periodontology

Screening for cancers and periodontal diseases.

prosthetics

Dental prosthetics focuses on restoring missing teeth and reconstructing damaged ones.

CROWNS AND VENEERS

A beautiful, white smile brings more self-confidence and helps achieve success. It can be achieved, among others, through aesthetic medicine treatments or ortholifting.
Clients about us

Reviews

CONTACT

BOOK AN APPOINTMENT

Z Wieży Dental Clinic
8B Rybacka St, Apt U4 and U5
84-120 Władysławowo
Opening hours
mon - fri: 8:00 - 20:00
sat: 8:00 - 14:00

    Amenities

    PARKING
    wifi
    Air conditioning
    Amenities
    Card payment
    Children’s area
    powered by getknow