Szanowni Państwo, mierzymy się z awarią internetu przez co na ten moment nie ma możliwości płatności kartą - terminal nie działa.
Mogą występować też trudności z dodzwonieniem się do recepcji. Awaria jest usuwana na bieżąco.
Prosimy o cierpliwość i przepraszamy za niedogodności.

Licówki i estetyczne wypełnienia

Piękny, biały uśmiech daje więcej pewności siebie i pomaga w osiąganiu sukcesów. Można go osiągnąć m.in. poprzez zabiegi medycyny estetycznej czy ortoliftingu.

Dzięki nowoczesnym zabiegom stomatologii estetycznej w Gabinecie DENTYSTA Z WIEŻY eksperci pomogą uzyskać prawdziwie piękny uśmiech poprzez procedury stomatologiczne i medyczne:
  • wybielanie zębów;
  • skaling z piaskowaniem, korony;
  • licówki kompozytowe i porcelanowe;
  • aparaty ortodontyczne.

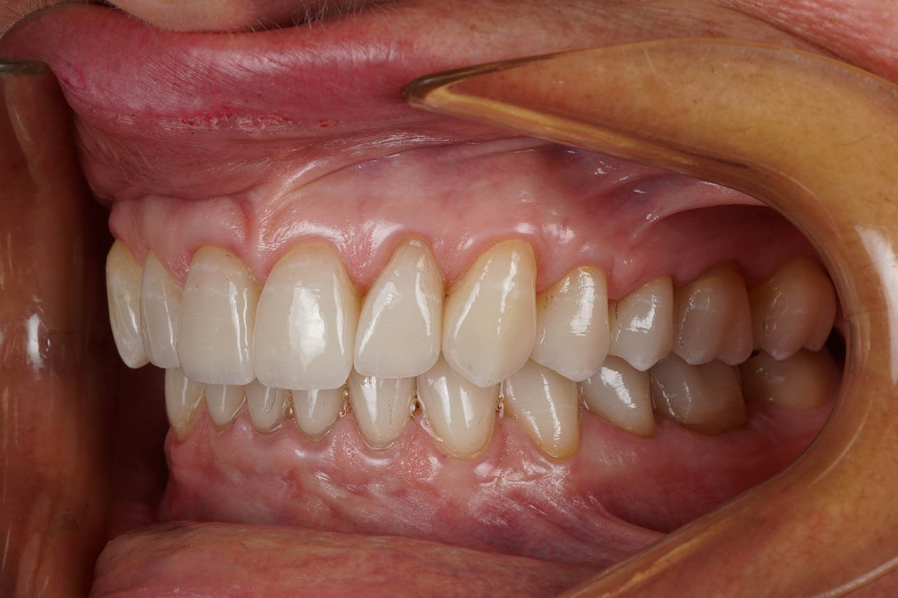
Co to jest licówka?

Różnego typu wypełnień nie można traktować wyłącznie jako służących poprawie naszego wyglądu i samopoczucia. Każde z nich poza upiększeniem posiada rolę, którą generalnie można określić jako ochrona zębów. Do zabiegów tych zaliczają się licówki. Co to jest licówka? To cienka płytka, wykonana z ceramiki, porcelany bądź kompozytowa (stosowana tymczasowo) przytwierdzana do powierzchni zęba od jego przedniej (wargowej) strony. Gdy rozważamy założenie licówek, to na pewno w pierwszej kolejności myślimy o poprawie wyglądu. Licówki to dobre wyjście. Są trwałe, nie szkodzą zębom, nie odbarwiają się, jeśli się o nie dba. Właściwa higiena zapewni nam możliwość korzystania z nich przez długi czas. Ich grubość waha się między 0,4 do 0,8 mm. Te grubsze są stosowane, gdy mają służyć również poprawie różnych wad uzębienia. Licówki kompozytowe zakłada się w ciągu jednej wizyty, a trwalsze wymagają dłuższego przygotowania. Licówki pozostają lekko przeźroczyste (przezierne), dlatego dobrze, gdyby towarzyszyły im inne zabiegi estetyczne, jak wybielanie.
PRZED
PO

Po co i dla kogo licówki?

Zęby za jednym razem stają się bielsze i prostsze. Rolą licówek jest przede wszystkim estetyka, ale przy okazji wspomniana ochrona zęba. Uznaje się, że pomagają one w przypadku występowania zbyt dużych przerw między zębami, gdyż mogą poprawiać ich kształt. Mogą być stosowane, gdy nasze własne zęby są za krótkie, ząb jest ukruszony i ma widoczne złamanie lub na zębie są widoczne wypełnienia (plomby), które barwą odbiegają od barwy samego zęba. Pomagają one nie tylko w leczeniu zębów, lecz stosowane przez dłuższy czas, przyczyniają się do ogólnej poprawy ich stanu. Jedyne ważne przeciwwskazanie, to nawyk bardzo intensywnego zgrzytania, mała grubość naturalnego szkliwa zębów lub też poważna wada zgryzu. Licówki są zaliczane w stomatologii do wypełnień, są mało inwazyjne, w porównaniu z innymi technikami, lecz nie oznacza to, że nie mają całkowicie wpływu na zęby. Podczas przygotowywania do zabiegu może być usunięte od 3 do 30% tkanki zęba. Licówki najlepiej zakładać więc na zęby zdrowe, które nie musiały przechodzić poważnych operacji. Od tego, jak ząb będzie przygotowany, zależy i trwałość osadzenia licówek, i to jaki dają one efekt. W stomatologii pojawił się już jednak zamiennik – licówki nakładane na całe zęby, o grubości zaledwie 0,2 mm. Nakłada je się bez szlifowania.

Korony

Pozostałymi technikami wypełnień estetycznych w stomatologii są korony protetyczne, czyli ceramiczne nakładki na zęby, zakrywające je w całości. Stosuje się je, gdy ząb uległ poważnemu uszkodzeniu i wygląda mało estetycznie. Tak jak w przypadku licówek, ząb musi być oszlifowany, niestety w znacznie większym stopniu. Korona nie tylko odtwarza naturalny wygląd zęba, ale go wzmacnia.

Inlay i onlay

W celu poprawy wyglądu zębów można zastosować wypełnienia ceramiczne na „szczycie” zęba, w tzw. guzkach, określane jako inlay oraz onlay. Te wypełnienia są stosowane, gdy ubytki w zębach są duże, gdyż można dzięki nim odbudować ząb, bez konieczności bardziej inwazyjnych metod.

Licówki, korony i inlay/onlay to poprawa wyglądu i zagwarantowanie, że będziemy mogli przez dłuższy czas cieszyć się naszymi własnymi zębami.
CO MOŻEMY DLA CIEBIE ZROBIĆ?

sprawdź usługi

ORTODONCJA

Piękny uśmiech to coś, dzięki czemu inni odbierają nas jako osoby schludne, zadbane, godne zaufania.

implantologia

Profilaktyka jest najskuteczniejszą formą unikania braków w uzębieniu, niestety czasami jest na to już za późno.

periodontologia

Badania przesiewowe w kierunku nowotworów oraz chorób przyzębia.

protetyka

Protetyka stomatologiczna zajmuje się uzupełnianiem braków w uzębieniu oraz rekonstrukcją zębów zniszczonych.

korony i licówki

Piękny, biały uśmiech daje więcej pewności siebie i pomaga w osiąganiu sukcesów. Można go osiągnąć m.in. poprzez zabiegi medycyny estetycznej czy ortoliftingu
KLIENCI O NAS

OPINIE

KONTAKT

UMÓW SIĘ NA WIZYTĘ

Dentysta z Wieży
ul. Rybacka 8B lok. U4 i U5
84-120 Władysławowo
Godziny otwarcia
pon - pt: 8:00 - 20:00
sob: 8:00 - 14:00

    udogodnienia

    PARKING
    wifi
    klimatyzacja
    udogodnienia
    płatność kartą
    strefa dla dzieci
    powered by getknow